Prótesis fija y removible

Prótesis fija

Ante la ausencia de piezas dentales se llevan a

 tratamientos, con los que reponer los dientes y muelas ausentes, con el fin de mejorar la estética, la masticación y el habla.  no pueden ser retiradas por el paciente, puesto que están sujetas a otros dientes o implantes dentales.

Prótesis removible

Como su propio nombre indica, las removibles el paciente se las puede quitar y poner cuando quiera

Que es una prótesis dental?

Son dispositivos que se utilizan para sustituir dientes perdidos. Están fabricados de porcelana o acrílico. Existen prótesis parciales las cuales son utilizadas para sustituir una sola pieza dental y también existen las completas que sustituyen toda la dentadura. Estos dispositivos ayudan a recuperar tu apariencia física y al mismo tiempo tu seguridad.

Fijas:

El dentista tallará los dientes para que sirvan como soporte para colocar las prótesis fijas. Las más comunes serían las carillas, las coronas y los puentes.

  • Coronas: elementos individuales que se cementan sobre la pieza dental o un implante. Puede ser metálica, de cerámica o mezcla.
  • Puentes: sustituyen piezas dentales, reproduciéndolas a la perfección para que resulten imperceptibles.
  • Carillas: láminas finas que se colocan en la parte frontal del diente. Función estética en casos de rotura, ennegrecimiento o separaciones interdentales.

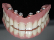
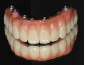
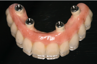
También puede colocarse una prótesis fija sobre implantes dentales. En este caso, la prótesis va sujeta sobre uno o varios implantes de titanio que hacen la función de raiz del diente, y sobre los que va sujeta la prótesis dental, ya sea una corona o un puente con varias piezas. El implante dental es, actualmente, la mejor solución.

Removibles: 

Completas: comúnmente conocidas como dentaduras postizas. Es la opción idónea para los pacientes que no conservan ningún diente.

Parciales: cuando el paciente aún mantiene alguna pieza dental que pueda contribuir a la retención de la prótesis.

Diferencias prótesis tradicionales e implantes:

  • Los implantes dentales se fijan por completo a las encías, lo que evita cualquier riesgo de desplazamiento y da mayor sensación de comodidad.
  • El impacto sobre los dientes adyacentes es mucho menor con los implantes.
  • Los implantes dentales son una opción mucho más fuerte y resistente gracias a la osteointegración del hueso.
  • No necesitan ningún diente secundario para su aplicación; al contrario, son totalmente individuales y además también son reversibles; si algo sale mal se puede empezar de nuevo. Pero la prótesis necesita dientes sanos y además es un proceso irreversible, una vez tallado el diente, es imposible recuperar su estado natural.
  • Complejidad en la limpieza de la prótesis (profunda y laboriosa) a diferencia de lo que ocurre con los implantes (como si fueran dientes naturales).
  • Mejor vocalización, masticación y más rápida adaptación a los nuevos dientes por parte de la gente que ha optado por los implantes, ya que los sienten como propios.

 

WhatsApp chat