La Endodoncia
La endodoncia
Que es endodoncia?
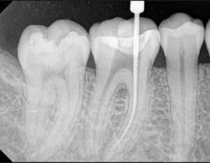
Endodoncia es el tratamiento de conductos radiculares, esto corresponde a toda terapia que es practicada en el complejo dentina-pulpar.
Tratamiento
La terapia endodóntica consiste en la extirpación total de lapulpa dental (nervio-arteria-vena) Se aplica en piezas dentales fracturadas, con caries profundas o lesionadas en su tejido pulpar.
.
Conclución
Y el estudio de la Patología Periapical Esta es irreversible y la única opción terapéutica es la extirpación total de la pulpa dental, y la obturación tridimensional del conducto dentario.



