Periodoncia
Periodoncia
La periodoncia es una especialidad médico-quirúrgica odontológica que estudia la prevención, diagnóstico y tratamiento de las enfermedades y condiciones que afectan los tejidos que dan soporte a los órganos dentarios (encía, ligamento periodontal, cemento radicular y hueso alveolar) y a los substitutos implantados, para el mantenimiento de la salud, función y estética de los dientes y sus tejidos adyacentes.


La Periodontología es la especialidad contemporánea que emerge de la odontología para sustentar el estudio de evidencia científica sobre el estado del periodonto sano y enfermo.
Las principales enfermedades periodontales que afectan a una dentición son la periodontitis y gingivitis.
Hoy en día con el advenimiento de la implantología la periodoncia también es la encargada de la prevención y tratamiento de las enfermedades periimplantares como la periimplantitis.
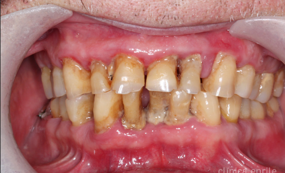
La enfermedad periodontal se manifiesta como una gingivitis (inflamación y sangrado de la encía sin afectar el hueso) o periodontitis, donde ocurre la destrucción del hueso que soporta el diente. Si no es tratado a tiempo puede ocasionar la pérdida de los dientes.
Un tratamiento periodontal consiste desde la corrección de la técnica de higiene para el control de la placa bacteriana, hasta la eliminación de los factores desencadenantes de la misma (cálculos dentarios o sarro y bolsas periodontales).
Periodontitis y Gingivitis


La periodontitis, denominada comúnmente piorrea, es una enfermedad que inicialmente puede cursar con gingivitis, para luego proseguir con una pérdida de inserción colágena, recesión gingival e incluso la pérdida de hueso, en el caso de no ser tratada, dejando sin soporte óseo al diente. La pérdida de dicho soporte implica la pérdida irreparable del diente mismo.
De etiología bacteriana que afecta al periodonto (el tejido de sostén de los dientes, constituido por la encía, el hueso alveolar, elCemento dentario y el ligamento periodontal) se manifiesta más comúnmente en adultos mayores de 35 años, pero puede iniciarse en edades más tempranas.

La gingivitis es una enfermedad bucal generalmente bacteriana que provoca inflamación y sangrado de las encías, causada por los restos alimenticios que quedan atrapados entre los dientes. Es muy frecuente que su origen sea causado por el crecimiento de las muelas del juicio, que produce una concavidad, que es donde se deposita el agente patógeno o bacteria.



